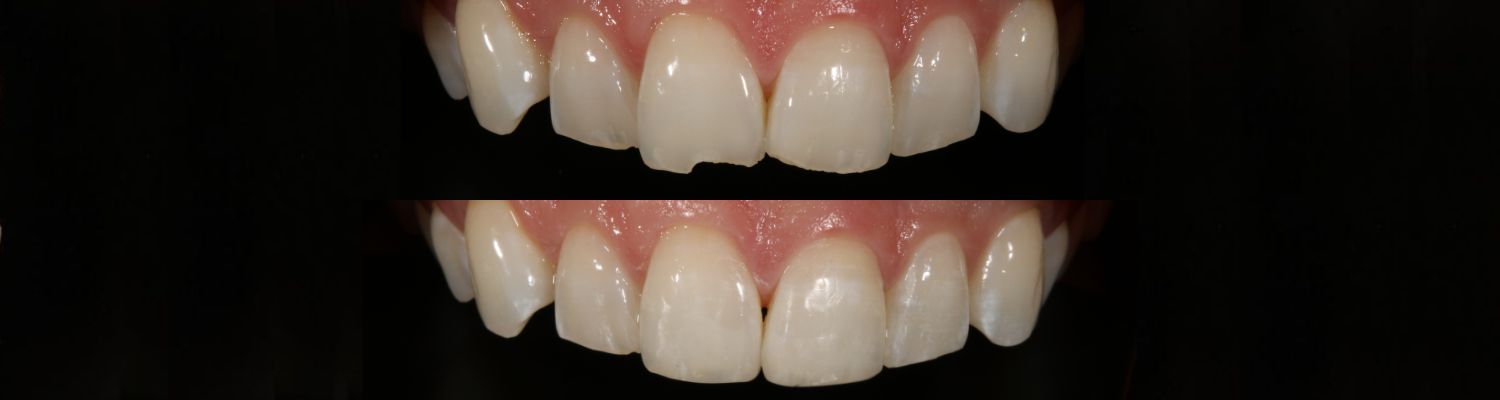
Tooth bonding is a simple cosmetic treatment used to mask minor damage, like chips, cracks or to close gaps between teeth. It’s a minimally invasive and can often be provided in a single visit.
Tooth Bonding from $198* per tooth
Tooth bonding involves applying composite resin directly to teeth. This is a simple treatment that aims to correct minor issues, such as filling in small chips, cracks or gaps. Some advantages of tooth bonding are:
- Painless and minimally invasive
- Minimal preparation of the tooth
- Can usually be completed in a single visit
- More affordable than other cosmetic treatments
*Price is based on the repair of a single surface chip. Book your tooth bonding consultation today. Call (08) 9495 7999 or simply book online.

Who is Suitable for Tooth Bonding?
We may recommend tooth bonding if you have relatively minor issues with your teeth that you want to cover up, such as:
- Chipped or cracked teeth
- Gaps between teeth
- Stained or discoloured teeth
- Small or irregular teeth
Tooth bonding is primarily a cosmetic dental treatment, so while it may have both aesthetic and functional benefits, it’s not usually not suitable for treating extensive tooth damage. In these cases, we may recommend alternatives such as a white filling or crown. You should also be free from oral health problems such as tooth decay or gum disease, as these could affect the final outcome. Got questions? Get in touch.
Tooth Bonding Process
Tooth bonding is one of the most straightforward dental procedures. Local anaesthesia is not usually required, as your dentist only works on the outside of the tooth. The steps involved are:
- Roughening the tooth surface to help the composite adhere
- Applying composite resin to fill gaps or reshape the tooth
- Curing the resin using a UV light
- Shaping and polishing the new tooth surface
This process can normally be completed in a single appointment, depending on how many teeth you’re having treated.


Avoiding Damage to Bonded Teeth
A bonded tooth should look and function like a natural tooth. However, composite resin is not as strong as enamel, or as resistant to stains, so it’s important to take care of restored teeth. Activities that can damage bonded teeth include:
- Hard and sticky foods
- Biting your nails, pens and other hard objects
- Teeth grinding and clenching
- Food and drinks with staining pigments
- Smoking
If restored teeth do become slightly damaged or stained, another bonding treatment may be performed to restore it.
Looking After Bonded Teeth
Composite resin used in tooth bonding can last for 4 to 8 years on average before it needs to be replaced, depending on how well you care for your teeth and follow your dentist’s advice. To help your treatment last for longer, we recommend:
- Regular brushing and flossing
- A healthy diet
- Wearing a mouthguard when playing contact sports
- Wearing a night guard if you grind your teeth
- Regular dental check-ups and hygiene appointments
Want to know more about tooth bonding and other options for restoring a tooth? Call our dentists in Kelmscott on (08) 9495 7999 or contact us today.


Tooth Bonding Treatment Risks
Risks of composite bonding are similar to composite veneers and may include:
- Chipping or breaking more easily than natural teeth or porcelain
- Staining over time from coffee, red wine, or smoking
- Wear and tear that requires repair or replacementÂ
- Slight colour mismatch compared with surrounding teeth
- Sensitivity after treatment, (usually temporary)
- Damage to the bonded area if habits like nail-biting or teeth grinding continue
Most patients experience long-lasting, natural results, and your dentist can repair or refresh bonding quickly if needed. Got questions? Talk to our team.
Frequently Asked Questions
How long does tooth bonding last?
Tooth bonding uses composite resin that is applied to the teeth and hardened. This can last between 4 and 8 years, depending on how much pressure the tooth is under and how well you look after it. You can help your bonded tooth to last longer by avoiding hard or sticky foods and wearing a mouthguard during sports.
What’s the difference between tooth bonding vs veneers?
Tooth bonding and composite veneers can both cover up imperfections on teeth, but bonding is better suited to minor imperfections, such as chips, cracks or other blemishes, while veneers can cover a whole tooth. Veneers may be made from composite resin layered directly onto the tooth or porcelain ceramic made outside the mouth and cemented to the tooth.
How much does tooth bonding cost?
Tooth bonding cost at Kelmscott Dental starts from $198 to repair a single surface chip, but the cost will increase if more extensive bonding is needed. Ask our team if you’re not sure what dental costs you’re entitled to claim on your health fund or if you want to discuss payment plans.
NEW PATIENT OFFER $350
Comprehensive Dental Assessment for $350 (valued at $516) includes:
- Comprehensive examination
- 2 check-up x-rays (if required)
- Full mouth panoramic x-ray (if required)
- Treatment planning

